How To Detect Lung Cancer Ct Scan : My 2 Cents: Annual Lung CT Scans for Smokers: Good or Bad? - If the test finds cancer, treatment can start early.
Dapatkan link
Facebook
X
Pinterest
Email
Aplikasi Lainnya
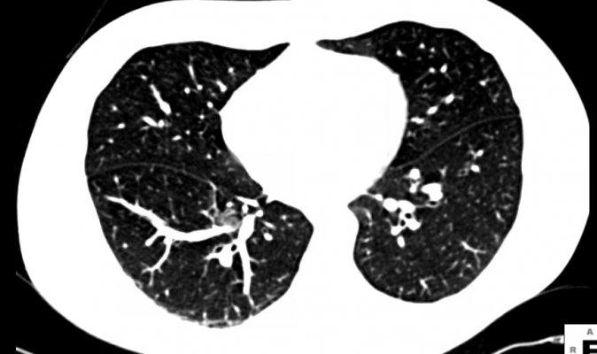
How To Detect Lung Cancer Ct Scan : My 2 Cents: Annual Lung CT Scans for Smokers: Good or Bad? - If the test finds cancer, treatment can start early.. Radiologists use both ct and mri to detect and monitor cancer. Doctors can use a ct scan to look for lung cancer. Mri of the brain to look for metastases to the brain. Also, this imaging technique can show masses that might have developed as a result of lung cancer spread. A chest ct scan can detect even smaller nodules in the lung.
Ct scans can be misread or misinterpreted. It can also show whether the cancer has spread outside the lung. It can also look at your liver and adrenal glands. An ldct scan is the recommended screening test for lung cancer.the u.s. Ct scans can produce false negatives and false positives.
Understanding Your Chest CT Scan & PET Scan for Lung ... from www.docpanel.com The scan involves a specialized machine that takes multiple images of your lungs, known as slices. It gives detailed information about your cancer. Mri of the brain to look for metastases to the brain. Learn how doctors choose which technique to use. An ldct scan is the recommended screening test for lung cancer.the u.s. A chest ct scan can detect even smaller nodules in the lung. These slices are then put together to form a full picture of your lungs for radiologists to evaluate. A ct scan can be wrong:
Radiologists use both ct and mri to detect and monitor cancer.
A ct scan can detect potential cancer in a lung. Ct scan of the abdomen to check for spread to the liver or adrenal glands. Computed tomography (ct) scans detect tumors, but do not determine whether they are malignant or not. Learn how doctors choose which technique to use. Imaging tests usually can't tell if a change has been caused by cancer. Low dose ct scanning for lung cancer can detect lung cancer at an earlier, more treatable, stage, or rule out the presence of cancer entirely, as in the images above. Lung cancer screening is recommended for older adults who are longtime smokers and who don't have any signs or symptoms of lung cancer. It is used to look for early signs of lung cancer. Also, this imaging technique can show masses that might have developed as a result of lung cancer spread. A lung pet scan is typically combined with a lung ct scan to detect conditions like lung cancer. Initial identification of lung cancer in asymptomatic patients usually occurs on chest radiography or chest computed tomography (ct). The scan looks at your lungs and other parts of your chest. Radiologists use both ct and mri to detect and monitor cancer.
Also, this imaging technique can show masses that might have developed as a result of lung cancer spread. Growths were identified when the disease was at stage one or two. It can also show the size, shape, and position of any lung tumors and can help find enlarged lymph nodes that might contain cancer that has spread. Initial identification of lung cancer in asymptomatic patients usually occurs on chest radiography or chest computed tomography (ct). Magnetic resonance imaging (mri) the mri uses magnets to detect and diagnose cancers.
CT scans beat X-rays in detecting lung cancer, study shows ... from media.cleveland.com A ct scan is one of several diagnostic tests that physicians order when they suspect lung cancer. Each imaging method has strengths that make it appropriate for a particular reason. Each hospital and medical center operates a little differently, so you might. Growths were identified when the disease was at stage one or two. However, screenings can still miss some types of lung cancer or only detect the condition at a later stage. It can also show whether the cancer has spread outside the lung. Common tests to determine if this has occurred include: The scan only takes a few minutes and is not painful.
Ct scan a ct scan reveals the anatomy of the lungs and surrounding tissues, which our cancer doctors use to diagnose and monitor tumor growth.
Imaging tests usually can't tell if a change has been caused by cancer. The risk of developing lung cancer due to a single ct scan of the chest is estimated to be one in 10,000. Ct scan catches 70% of lung cancers at early stage, nhs study finds. If neurological symptoms have developed, a ct scan of the brain may be performed to check for metastases. A chest ct scan can detect even smaller nodules in the lung. It can also show whether the cancer has spread outside the lung. Magnetic resonance imaging (mri) the mri uses magnets to detect and diagnose cancers. Ct scan of the abdomen to check for spread to the liver or adrenal glands. These slices are then put together to form a full picture of your lungs for radiologists to evaluate. Scans give doctors the ability to diagnose lung cancer in the earliest stages, which allows for a better cure rate. The scan only takes a few minutes and is not painful. The scan involves a specialized machine that takes multiple images of your lungs, known as slices. Initial identification of lung cancer in asymptomatic patients usually occurs on chest radiography or chest computed tomography (ct).
Ct scans can produce false negatives and false positives. If neurological symptoms have developed, a ct scan of the brain may be performed to check for metastases. Each hospital and medical center operates a little differently, so you might. Patients obtain the ct scan results from the ordering. It gives detailed information about your cancer.
How AI Can Detect Lung Cancer from CT Scans | NVIDIA Blog from blogs.nvidia.com Common tests to determine if this has occurred include: Mri of the brain to look for metastases to the brain. Each imaging method has strengths that make it appropriate for a particular reason. Learn how doctors choose which technique to use. A ct scan can be wrong: It can also show whether the cancer has spread outside the lung. Ldct scans can help find abnormal areas in the lungs that may be cancer. But the test is not helpful for light smokers or people who quit smoking more than 15 years ago.
Computed tomography (ct) scans detect tumors, but do not determine whether they are malignant or not.
Ct (computed tomography) and mri (magnetic resonance imaging) are both used to diagnose and stage cancer. It is used to look for early signs of lung cancer. Preventive services task force recommends an ldct lung cancer screening every year if you: However, screenings can still miss some types of lung cancer or only detect the condition at a later stage. The steps below will help you know what you can expect from the lung cancer screening process. Magnetic resonance imaging (mri) the mri uses magnets to detect and diagnose cancers. The scan only takes a few minutes and is not painful. A ct scan can detect potential cancer in a lung. Lung cancer screening is a process that's used to detect the presence of lung cancer in otherwise healthy people with a high risk of lung cancer. Ldct scans can help find abnormal areas in the lungs that may be cancer. It can also show whether the cancer has spread outside the lung. Ct scans can be misread or misinterpreted. This contradicts the current recommendation that smokers receive annual tomography screenings to detect early signs of the disease.
Signs Of Small Intestine Cancer In Dogs : Intestinal Cancer In Cats Symptoms Causes Diagnosis Treatment Recovery Management Cost / There were no warning signs, she added, as we discussed the biopsy results after removing a cancerous mass in the intestine. . Cancer treatment options for dogs and cats are similar felv is also linked to diseases of the kidneys, joints, lymph nodes, small intestine, liver and nervous system. A serious disease followed by growing some cells anomaly. Many dogs with cancer will show no signs, at least initially. The cancer may be treatable depending on cancer type. Cancer in the intestine could be one cause, so you should take your pet for a blood test. Colon cancer is difficult to diagnose at home, because the early symptoms are surgery can remove isolated growths in the intestines, although the size and aggressiveness of the. 4 if left untreated, the condition of having loose or liquid bowel movements can be a fatal disease. Unfortunately...
What Does Cancer Rising Sign Mean - What Does Your Rising Sign Mean? | Sign meaning, Signs, Sober - If you have to make decisions, you always think carefully. . Cancer is the first of the water signs. In a gemini/cancer rising, there is a special mix of autonomy with a good helping of sympathy for others. Here, we break down what exactly this type of sign is, how to find it, and a basic explanation of how it may manifest in your. Here you will discover the individual meaning of each planet in each zodiac sign, and in each house. The birth chart interpretations found here are general interpretations because you will find that, as you become more comfortable with astrology, you can add your own insight to these meanings.the interpretations here are meant as a general guide, to usher you. Be careful, however—people may hide behind an ascendant mask, while the moon sign is a more accurate expression of one's true personality in relationships. Emotions and feelings pl...
How To Make A Sound Card - Pop-up Cards | Faye's blog - That signal passes through the dac before being pumped out of the output connection. . Allowing input of higher voltages and scaling the voltage down so the sound card can handle it. Your sound card is in the list that appears. You will, of course, also receive improved sound, which is ideal for games that use surround sound to help you identify where enemies. With this method, you can generate multiple virtual sound cards on one computer. Wrap up your exposed connections with insulation tape unscrew the nuts of the components and fit them into the box. Try updating audio card drivers and the bios for your computer if no sound card is. Another is wave table synthesis, which uses samples of real instruments to replicate musical sounds. How to make a diy usb sound card with an old webcam. Building your own scope probes accomplishes: There are many factors involved in choosing the right sound card for your home...
Komentar
Posting Komentar