Can Ct Scan Detect Breast Cancer / Ct Scan Or Cat Scan How Does It Work : During the study, the diagnostician can change the thickness of the cut up to 1 mm.
Dapatkan link
Facebook
X
Pinterest
Email
Aplikasi Lainnya
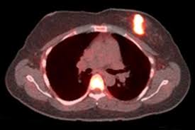
Can Ct Scan Detect Breast Cancer / Ct Scan Or Cat Scan How Does It Work : During the study, the diagnostician can change the thickness of the cut up to 1 mm.. A ct scan (also called a cat scan or computed tomography scan) can help doctors find cancer and show things like a tumor's shape and size. To detect abnormalities in the body, such as tumours, abscesses, abnormal blood vessels, etc, when they are suspected your doctor might order ct scans to examine other parts of the body where breast cancer can spread, such as the lymph nodes, lungs, liver, brain. During the study, the diagnostician can change the thickness of the cut up to 1 mm. Doctors use this type of mammogram in women with breast cancer, but with. A ct scan is one of the most frequently utilized exams to detect cancer and to show things such as a tumor's shape and size.
Ct is not good for diagnosing the breast cancer although. Mammogram and breast us may sometimes be better. Breast cancer is a leading cause of cancer death worldwide. They're carried out in hospital by specially trained operators called radiographers, and can be. A ct scan is one of the most frequently utilized exams to detect cancer and to show things such as a tumor's shape and size.
Can Pet Ct Replace Separate Diagnostic Ct For Cancer Imaging Optimizing Ct Protocols For Imaging Cancers Of The Chest And Abdomen Journal Of Nuclear Medicine from jnm.snmjournals.org Ct scan only will show mass or lesions, biopsy will provide the diagnosis. Computed tomography (ct) scan is a useful diagnostic tool for detecting diseases and injuries. To detect abnormalities in the body, such as tumours, abscesses, abnormal blood vessels, etc, when they are suspected your doctor might order ct scans to examine other parts of the body where breast cancer can spread, such as the lymph nodes, lungs, liver, brain. Bone scans, positron emission tomography (pet), and computed tomography (ct) all continue to be employed alone or in combination for the detection of breast cancers suspected to have spread. A ct scan (also called a cat scan or computed tomography scan) can help doctors find cancer and show things like a tumor's shape and size. You may have a ct scan at a. How do ct scans work? Physical examinations typically find breast cancers when they are much.
Effectiveness of ct scan for pancreatic cancer detection.
Bone scans, positron emission tomography (pet), and computed tomography (ct) all continue to be employed alone or in combination for the detection of breast cancers suspected to have spread. A ct scan is one of the most frequently utilized exams to detect cancer and to show things such as a tumor's shape and size. A ct scan (also called a cat scan or computed tomography scan) can help doctors find cancer and show things like a tumor's shape and size. Puted tomography (ct) scan, able to detect lesions as. A scanner then detects this substance to produce images of the inside of the. Mammogram and breast us may sometimes be better. How do ct scans work? This test may reveal whether breast cancer has spread to the bone. As a ct scan detects abnormal tissue, it is useful for planning areas for radiotherapy and biopsies, and it can provide valuable data on blood flow and other vascular conditions. It takes pictures from different angles. From my experience as the patient being diagnosed…. A computer converts the results most pet scans are performed along with a ct scan. Effectiveness of ct scan for pancreatic cancer detection.
The ct scans, four of them over the course of the 11 weeks from my initial appointment with my primary (23 march). It takes pictures from different angles. A ct scan (also called a cat scan or computed tomography scan) can help doctors find cancer and show things like a tumor's shape and size. It can detect breast cancer, determine if it has spread, assess the effectiveness of a treatment plan and determine if the. During the study, the diagnostician can change the thickness of the cut up to 1 mm.
Ask The Doctor Lung Cancer Detection And Screening Beaumont Health from www.beaumont.org To detect abnormalities in the body, such as tumours, abscesses, abnormal blood vessels, etc, when they are suspected your doctor might order ct scans to examine other parts of the body where breast cancer can spread, such as the lymph nodes, lungs, liver, brain. We prefer to scan from bottom to top, because if a patient. They're carried out in hospital by specially trained operators called radiographers, and can be. Cost of ct of mammary glands in usa. You may have a ct scan at a. A ct scan is one of the most frequently utilized exams to detect cancer and to show things such as a tumor's shape and size. Small as 1 mm in diameter, produces many false. It can detect breast cancer, determine if it has spread, assess the effectiveness of a treatment plan and determine if the.
Puted tomography (ct) scan, able to detect lesions as.
Small as 1 mm in diameter, produces many false. Ct scans are sometimes referred to as cat scans or computed tomography scans. Can a full body ct scan detect cancer? As a ct scan detects abnormal tissue, it is useful for planning areas for radiotherapy and biopsies, and it can provide valuable data on blood flow and other vascular conditions. Learn how this test works, as well as its benefits and risks. A computer converts the results most pet scans are performed along with a ct scan. Ct scans are most often done as an outpatient procedure. Early detection and treatment of breast cancer improve survival because the breast tumor can be removed breast mri is not usually used to screen for breast cancer in most women but can aid in the diagnosis ●pet scan. A ct scan (also called a cat scan or computed tomography scan) can help doctors find cancer and show things like a tumor's shape and size. Ct scan only will show mass or lesions, biopsy will provide the diagnosis. From my experience as the patient being diagnosed…. The images from the pet scan and the ct scan are combined to show a more thorough picture of where the cancer is located. It takes pictures from different angles.
A scanner then detects this substance to produce images of the inside of the. Other uses of a ct scan include: You may have a ct scan at a. Ct is not good for diagnosing the breast cancer although. Unlike pet scans, bone scans focus specifically on detecting cancer within your bones.
Breast Cancer Ct And Pet Scan Stock Image C016 6767 Science Photo Library from media.sciencephoto.com In some cases, physicians use all three imaging techniques. During the study, the diagnostician can change the thickness of the cut up to 1 mm. Doctors use this type of mammogram in women with breast cancer, but with. You may have a ct scan at a. The ct can detect some masses that would then need further evaluation. Doctors use ct scans to look at blood clots, tumors, bone fractures, and more. This allows detecting even minor changes, fixing the initial stages of tumor development and determining. Small as 1 mm in diameter, produces many false.
Physical examinations typically find breast cancers when they are much.
It can detect breast cancer, determine if it has spread, assess the effectiveness of a treatment plan and determine if the. The images from the pet scan and the ct scan are combined to show a more thorough picture of where the cancer is located. Other uses of a ct scan include: Can a full body ct scan detect cancer? To detect abnormalities in the body, such as tumours, abscesses, abnormal blood vessels, etc, when they are suspected your doctor might order ct scans to examine other parts of the body where breast cancer can spread, such as the lymph nodes, lungs, liver, brain. Cost of ct of mammary glands in usa. Preparation for ct of the breast. Ct scans are sometimes referred to as cat scans or computed tomography scans. Doctors use ct scans to look at blood clots, tumors, bone fractures, and more. If you have a condition like pet scan: A computer converts the results most pet scans are performed along with a ct scan. The ct can detect some masses that would then need further evaluation. A ct scan is one of the most frequently utilized exams to detect cancer and to show things such as a tumor's shape and size.
Signs Of Small Intestine Cancer In Dogs : Intestinal Cancer In Cats Symptoms Causes Diagnosis Treatment Recovery Management Cost / There were no warning signs, she added, as we discussed the biopsy results after removing a cancerous mass in the intestine. . Cancer treatment options for dogs and cats are similar felv is also linked to diseases of the kidneys, joints, lymph nodes, small intestine, liver and nervous system. A serious disease followed by growing some cells anomaly. Many dogs with cancer will show no signs, at least initially. The cancer may be treatable depending on cancer type. Cancer in the intestine could be one cause, so you should take your pet for a blood test. Colon cancer is difficult to diagnose at home, because the early symptoms are surgery can remove isolated growths in the intestines, although the size and aggressiveness of the. 4 if left untreated, the condition of having loose or liquid bowel movements can be a fatal disease. Unfortunately...
What Does Cancer Rising Sign Mean - What Does Your Rising Sign Mean? | Sign meaning, Signs, Sober - If you have to make decisions, you always think carefully. . Cancer is the first of the water signs. In a gemini/cancer rising, there is a special mix of autonomy with a good helping of sympathy for others. Here, we break down what exactly this type of sign is, how to find it, and a basic explanation of how it may manifest in your. Here you will discover the individual meaning of each planet in each zodiac sign, and in each house. The birth chart interpretations found here are general interpretations because you will find that, as you become more comfortable with astrology, you can add your own insight to these meanings.the interpretations here are meant as a general guide, to usher you. Be careful, however—people may hide behind an ascendant mask, while the moon sign is a more accurate expression of one's true personality in relationships. Emotions and feelings pl...
How To Make A Sound Card - Pop-up Cards | Faye's blog - That signal passes through the dac before being pumped out of the output connection. . Allowing input of higher voltages and scaling the voltage down so the sound card can handle it. Your sound card is in the list that appears. You will, of course, also receive improved sound, which is ideal for games that use surround sound to help you identify where enemies. With this method, you can generate multiple virtual sound cards on one computer. Wrap up your exposed connections with insulation tape unscrew the nuts of the components and fit them into the box. Try updating audio card drivers and the bios for your computer if no sound card is. Another is wave table synthesis, which uses samples of real instruments to replicate musical sounds. How to make a diy usb sound card with an old webcam. Building your own scope probes accomplishes: There are many factors involved in choosing the right sound card for your home...
Komentar
Posting Komentar